Implantes, lentes de contato, ortodontia e muito mais,
tudo em um só lugar, com atendimento exclusivo.
A Stilo Oral tem sido o porto seguro para quem busca a excelência em saúde bucal em Brasília.
Dr. Percival é especialista em Implantes, Prótese e Periodontia. Sua expertise técnica garante tratamentos seguros, precisos e com resultados estéticos e funcionais impecáveis.
Planejamos cada detalhe do seu tratamento em um ambiente acolhedor, com tempo e atenção dedicados a entender e atender suas expectativas.
Desde a anestesia computadorizada sem dor até o planejamento digital 3D, cada recurso é utilizado para garantir cirurgias mais seguras, rápidas e com resultados impecáveis.
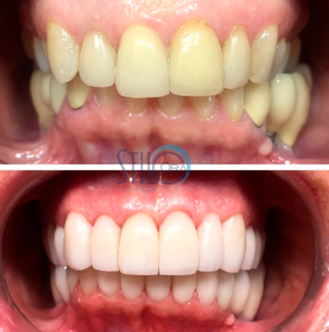
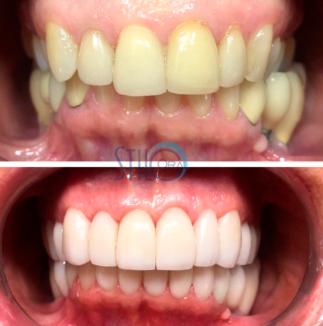
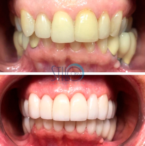
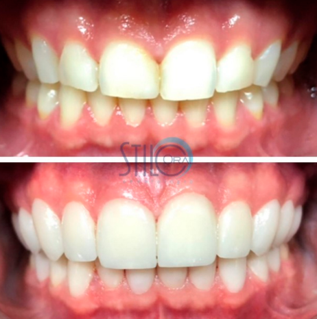
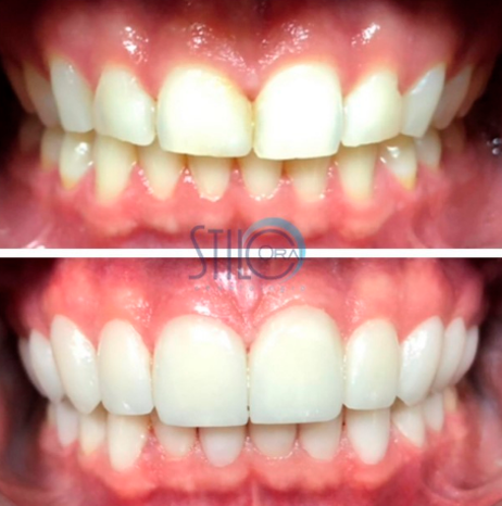
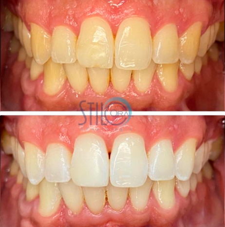
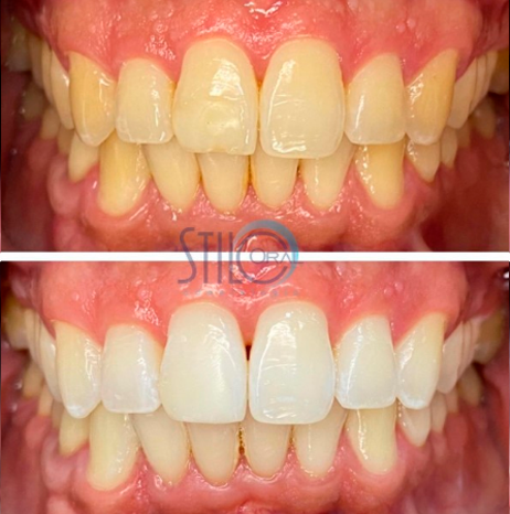
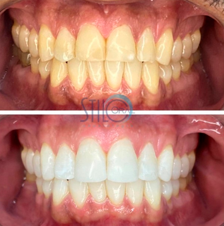
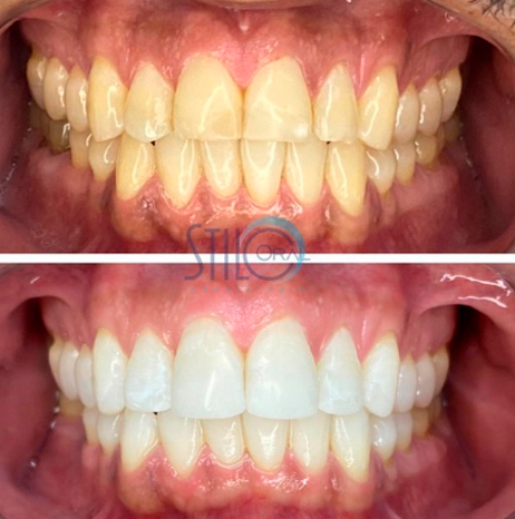
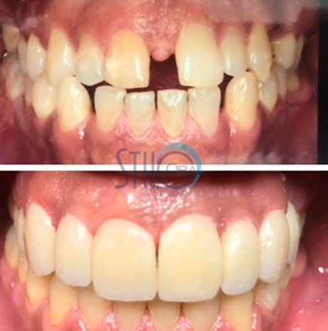
Mais do que tratamentos, entregamos autoestima e a alegria de sorrir sem medo. Cada imagem a seguir representa a história real de um paciente que confiou em nossa equipe e hoje vive com mais confiança. Veja o que podemos fazer por você.














Recupere a segurança e o prazer de comer de tudo. Com implantes dentários de alta tecnologia, devolvemos a função mastigatória completa e a estabilidade que você perdeu, com um resultado que parece e se sente natural.
Devolvemos a vitalidade e a cor natural do seu sorriso. Com técnicas de clareamento e restaurações estéticas de precisão, removemos manchas e reparamos desgastes, revelando um sorriso mais jovem, saudável e luminoso.
Viver com dor não é uma opção. Nossos tratamentos periodontais e restauradores identificam a causa do problema e a eliminam de forma eficaz, devolvendo seu bem-estar e permitindo que você aproveite seus dias com mais tranquilidade e saúde.
A solução definitiva para a perda de dentes. Devolvemos a você a segurança para mastigar e a confiança para sorrir abertamente. Os implantes funcionam como raízes artificiais, substituindo dentes perdidos de forma segura e permanente, com um resultado estético e funcional idêntico ao natural.
A perfeição de um sorriso de capa de revista. Corrija imperfeições de cor, formato, tamanho e alinhamento com finas lâminas de porcelana. É o tratamento ideal para quem busca uma transformação estética rápida e de alto impacto, conquistando um sorriso branco, harmônico e deslumbrante.
Alinhe seu sorriso com discrição e conforto. Esqueça os aparelhos metálicos tradicionais. Utilizamos as mais avançadas tecnologias em ortodontia, como os alinhadores invisíveis, para corrigir a posição dos seus dentes de forma mais rápida, higiênica e praticamente imperceptível, sem atrapalhar sua rotina.
Alívio imediato da dor e a salvação do seu dente. Realizado com tecnologia de ponta, o tratamento de canal elimina a dor e a infecção na parte interna do dente, evitando a necessidade de extração. Um procedimento preciso e confortável para preservar sua saúde bucal e seu sorriso natural.
"Eu mal conseguia mastigar direito e tinha vergonha de sorrir. O Dr. Percival me devolveu a qualidade de vida com os implantes. Um trabalho impecável, sou outra pessoa!"
"Sempre sonhei em ter um sorriso de artista. A equipe da Stilo Oral transformou meu sonho em realidade com as lentes de contato. O resultado ficou super natural e minha autoestima foi lá pra cima!"
"Eu tinha pavor de dentista, mas o Dr. Luís Gustavo e toda a equipe foram incríveis. A tecnologia que usam torna tudo mais tranquilo, nem senti a anestesia. Perdi o medo e ganhei um sorriso novo."
"Sou paciente do Dr. Percival há anos e não troco por nada. A confiança e a qualidade no atendimento da Stilo Oral são constantes. É a certeza de estar sempre nas melhores mãos."
"O que mais me impressionou na Stilo Oral foi o profissionalismo. Pontualidade, clareza nas explicações e um resultado excelente. Para quem tem uma rotina corrida como a minha, isso faz toda a diferença."
"Cheguei na clínica com uma dor terrível e o Dr. Luís Gustavo foi muito cuidadoso e resolveu meu problema de canal com uma maestria impressionante. Gratidão pelo alívio e por salvarem meu dente."
Na Stilo Oral, acreditamos que a excelência vai além do tratamento. Ela está na precisão da tecnologia, na expertise da nossa equipe e, principalmente, no cuidado que dedicamos a você. Conheça os pilares que fazem da nossa clínica a escolha ideal para o seu sorriso.
Q. 101 – Águas Claras, Brasília – DF, 71900-100.
Utilizamos scanners intraorais 3D e softwares avançados para planejar cada etapa do seu tratamento de forma milimétrica. Isso garante procedimentos mais rápidos, seguros e previsíveis, permitindo que você visualize o resultado final antes mesmo de começar.
Nossa força está na união de especialistas. Liderados pelo Dr. Percival JR, garantimos uma visão completa e integrada do seu caso. Aqui, você tem a segurança de ser atendido pelo profissional ideal para cada etapa do seu tratamento, tudo em um só lugar.
Nossa clínica no Laguna Mall foi projetada para o seu máximo conforto e bem-estar. Cada detalhe, da arquitetura à recepção, foi pensado para oferecer uma atmosfera acolhedora, sofisticada e totalmente privativa, transformando sua visita ao dentista em um momento de cuidado e tranquilidade.
Para nós, cada paciente é único. Dedicamos tempo para ouvir suas queixas, entender seus objetivos e construir um plano de tratamento exclusivo. O atendimento é sem pressa, focado em você e baseado em uma sólida relação de confiança.
Nosso compromisso é com a excelência que perdura. Aliamos a mais alta técnica à arte da odontologia para criar sorrisos que respeitam a harmonia do seu rosto. Utilizamos materiais de ponta para garantir não apenas a beleza, mas a função e a longevidade do seu tratamento.
Agende sua avaliação gratuita e descubra o que a odontologia premium pode fazer por você.
Vagas limitadas para novas avaliações neste mês.
© 2025 Stilo Oral. Todos os direitos reservados. | Desenvolvido por ClinicPRO